A complete transformation for our lovely patient with full mouth reconstruction. Isabella visited our office for a consultation expressing that she had been self-conscious and unhappy about her smile all her life. Her before smile lacked the correct proportion, symmetry and shape. Also, the yellow shade of her teeth did not look youthful or healthy. Finally, she showed excessive gingival tissue (gummy smile) when smiling. We corrected her smile by minimally invasive porcelain veneers and crown-lengthening procedure. Her final smile and smile-line look natural, fitting well with the shape of her lips. The color of her veneers are very complementary for her skin tone and the color of her lips. All of these elements allowed us to enhance Isabella’s smile. Cosmetic dentistry done well includes the correct position of the teeth to add youth, vitality, and a sense of luxury to the face.
Isabella
Erica
This fabulous lady spends her days making her client’s look their best as a talented hair stylist but lately she had noticed that her teeth were starting to stain, chip away and shift close towards the middle. When she showed up to our office for a esthetic dentistry consultation, we were all on the same page: professional teeth whitening, minimally invasive porcelain veneers and dermal fillers for her lips. We were able to turn the clock back by at lease 10 years with this treatment. Lots of little details that overall make a huge impact. Erica now feels confident flaunting her beautiful new smile every where she goes.
Ruby
After seeing our work on family members, and because of their continuing satisfaction with their dental makeovers, Ruby decided to seek us out for a long-overdue reconstruction cosmetic dental surgery. Until then, Ruby had managed her dental work only on emergency bases or tooth-by-tooth. Never having a comprehensive dental care had caused her to suffer from severe bite collapse which in return gave her entire face a much older appearance. We were able to reverse years of neglect and completely rejuvenate her mouth in just couple of months by dental crowns and dental veneers. After her dental work was completed, we utilized Botox and dermal fillers in and around the lips to frame Ruby’s beautiful and symmetrical smile. She now looks more radiant than ever before.
Andrew
Andrew is a young professional who was unhappy with his smile. He was born with teeth that were missing form birth, malformed and malformed discolored. When Andrew visited us, he had not only decided to correct the problems, but had a pressing deadline: of starting a new job, only a few months away. Our cosmetic dentistry treatment plan for him included placement of crowns and veneers on his teeth to improve their shape, size and color, as well as dental implant placement to replace the missing teeth and to restore health and function of his teeth. Once the treatment was completed, Andrew was absolutely thrilled with the results and fully confident to start his new job.
Karen
Andrew is a young professional who was unhappy with his smile. He was born with teeth that were missing form birth, malformed and malformed discolored. When Andrew visited us, he had not only decided to correct the problems, but had a pressing deadline: of starting a new job, only a few months away. Our cosmetic dentistry treatment plan for him included placement of crowns and veneers on his teeth to improve their shape, size and color, as well as dental implant placement to replace the missing teeth and to restore health and function of his teeth. Once the treatment was completed, Andrew was absolutely thrilled with the results and fully confident to start his new job.
George
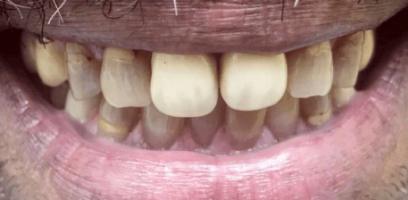
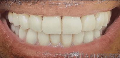
Tetracycline discoloration is permanent and can vary from yellow or gray to brown. Whitening teeth that are stained as a result of taking tetracycline is always a very challenging process. The simple fact is that tetracycline color molecules cannot be completely removed from teeth. Thus, the amount of whitening that can be achieved when using typical whitening systems is limited. George came in for a consultation with us due to our considerable understanding and experience with tetracycline staining. After our esthetic dental consultation, George was confident he had found the right place to address this issue. George’s treatment included 20 porcelain veneers for his upper and lower arch to create these amazing results which corrected the discoloration, overbite and the shape of his teeth. George now looks and feels like a new man.
Ethan
Ethan had used mouth guards to minimize his discomfort and to control the damage to his teeth caused by his teeth grinding. The extent of his dental breakdown was fairly significant causing enamel loss and exposing the underlying dentin. Ethan was not only concerned about how his teeth looked but was also experiencing quite bit of sensitivity from hot and cold due to his enamel and dentin loss. The solution was full-mouth reconstruction for Ethan which included vertically opening his bite by minimally prepared crowns. We created a smile that was both natural and aesthetically pleasing, and made it possible for him to be comfortable enjoying his food, no matter the temperature. Notice how completely natural his new smile looks; it is as if he was born with it. That is what we call improved quality of life.
Madison
Madison came to see us for a consultation seeking a solution to enhance her smile. During her consultation visit we discovered that her bite would have to be rebuilt and vertically enhanced in order to lengthen her face and reduce the appearance of wrinkles. Over time due to the break down of her teeth, Madison’s muscles had to work harder to close the jaw higher up in the face. As the muscles struggle to do their job they cause premature aging of the face as they pull on the skin and induce it to wrinkle. She also had a narrow smile, showing dark triangles in the corners of her mouth. By creating a wider smile, the progression from the front to the back teeth can be seen and this allows for a more attractive smile. We increased the length of both her upper and lower teeth to support her facial muscles, aligning them to their original dimensions and allowing them to work as they should. She was beyond happy with overall effect of her treatment. Seeing the positive changes our patient’s lives through a smile makeover is one the main reasons why cosmetic dentistry is so rewarding for us.
Emma
Emma is highly successful lifestyle coach and despite all her accomplishments, awards and numerous projects in development, she knew that condition of her smile was holding her back from achieving her full potential and that it was imperative for her to improve her smile. Emma came to see us for cosmetic dentistry consult while she was in the middle of orthodontic treatment and was interested in having veneers and implants placed to complete her smile makeover. She also explained to us that her teeth, before braces, had been too short and so they would not show when she smiled. Upon the completion of her orthodontic treatment and removal of her braces, we proceeded with the smile makeover. This was an extremely complicated, delicate and challenging case but the desired outcome made it well worth the extra steps. Emma’s full mouth reconstruction took about 4 months to complete which included crowns, veneers, dental bridges and dental implants. She is now confident enough to take her life and career to next level.
Hugo
Hugo is is a talented and successful artist who leads a highly active lifestyle. We had to work around his busy schedule to achieve the treatment result, he wanted right before his gallery opening. Hugo has a big heart and always put other people before himself hence the apparent neglect of his teeth to a point of breakdown. His treatment included combination porcelain crowns and veneers which we were able to complete in only two appointments right before his gallery opening in Miami. Hugo was so pleased with results that days after his treatment, we receive a beautiful art piece from his amazing collection for our office as a thank you gift.
